-
DW-L50 EXP
DW-L50 exp هي آلة الموجات فوق الصوتية من نوع الكمبيوتر المحمول داوي الطبيةسلسلة V4.0L الجديدة. تتميز هذه السلسلة بأنظمة الموجات فوق الصوتية ذات الألوان 4D معقولة مع مجموعة متنوعة من إمكانيات معالجة الصور. وهي مناسبة لمجموعة متنوعة من الإدارات الطبية ، بما في ذلك البطن ، والأوعية ، والأجزاء الصغيرة ، والتوليد ، وأمراض النساء ، وأمراض المسالك البولية ، وأمراض القلب.
库存: 0
سؤال

DW-L50 EXP
نظام الموجات فوق الصوتية ملونة الكمبيوتر المحمول
القدرات التشخيصية الغنية
سعر بأسعار معقولة
DW-L50 EXP ، التي تعمل كآلة الموجات فوق الصوتية المحمول من DAWEI MEDICAL
على منصة التصوير عالية السرعة ST-U وحل COM-E عالي الأداء.
إنه يمكّن الأطباء عبر تخصصات متعددة مع قدرات تشخيصية
في التصوير العام في أي مكان وفي أي وقت.


حرية
شاشة HD الطبية 15 بوصة ، 180 درجة قابلة للتعديل
دون عناء
تصميم كمبيوتر محمول خفيف الوزن وصغير الحجم

تخزين
واجهات USB 3.0 لصورة التخزين ،
الفيديو والتقرير
قوي
بطارية الليثيوم المدمجة ،
وقت الاستعداد أكثر من 5 ساعات

سِجِلّ
تشغيل يدوي وتلقائي أكثر من 2000 إطار

سيارة إسعاف
تشخيص العيادات الخارجية
نقطة الرعاية
التخدير
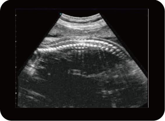
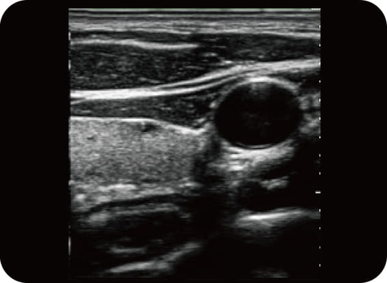
معرض الصور


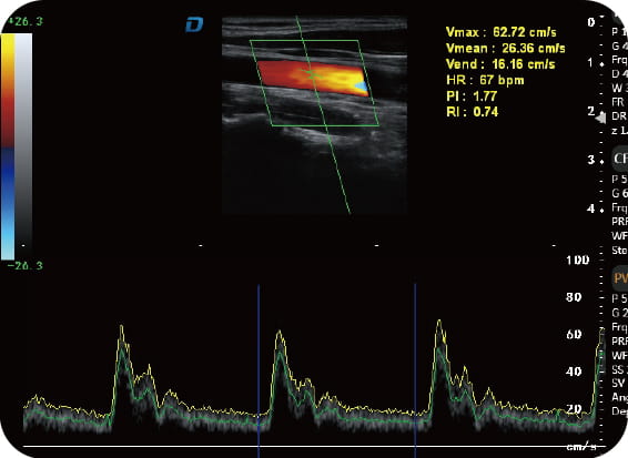
تصوير بقح البقع (SRI)

التصوير التوافقي للأنسجة (ثي)

تتبع السيارات

فحص العمود الفقري الجنين

تصوير الأنسجة دوبلر (TDI)

التصوير المركبة المكانية

التصوير شبه المنحرف

elastography

ثقب تعزيز
(مسبار الصفيف الخطي)
خياري

طابعة

عربة
